Skip to main content

Search: #细胞生物学

  1. 科学家揭示毛囊生长的“拉力”机制:毛发生长原来是细胞被“拽”出来的

    我们常以为头发长长是因为细胞不断分裂,但一项新研究颠覆了这一认知。科学家通过3D活体成像技术,观察体外培养的人类毛囊,发现外根鞘细胞会以螺旋状向下移动进入毛囊底部,而毛囊底部的细胞则向上流动,最终形成毛发。这表明毛发生长可能涉及一种“拉力”机制。

    研究团队进一步发现,毛囊外层细胞的移动速度与细胞分裂率直接相关——移动越快的地方,细胞分裂越活跃。通过流体动力学模拟和实验干预,他们提出模型:外根鞘细胞的向下运动产生拉力,将毛囊底部的细胞向上“拽”,从而推动毛发向外生长。这种机制与动物毛囊中干细胞分化的模式一致,但首次在人类中验证。

    这一发现为理解毛发生长提供了新视角,可能有助于开发更有效的脱发治疗或毛囊再生技术。不过,研究是在体外培养的毛囊中进行,体内环境更为复杂,未来需要更多体内实验来验证这一模型。目前结果仍需更多样本和长期研究支持。

    头发原来是被“拽”出来的,这下剪头发后感觉头发更长得更快有科学解释了!


    来源:Nature communications

    #毛囊生长 #细胞动力学 #生物力学 #毛发生长机制 #科学发现

    via: 热心群友

    🧬 频道🧑‍🔬 群组📨 投稿
    🤔 5
  2. 果蝇翅膀再生中,“抗凋亡细胞”如何驱动补偿性增殖?

    当我们身体组织受损时,比如皮肤被划伤,细胞是如何“补回来”的?科学家发现,在果蝇翅膀的再生过程中,一种特殊的“抗凋亡细胞”扮演着关键角色,它们能通过自我增殖和影响周围细胞,帮助组织恢复。

    研究发现,这种被称为“Dronc激活的凋亡抵抗细胞(DARE)”的细胞,其Dronc活性独立于其他凋亡相关蛋白,既能自己增殖(细胞自主),也能通过分泌信号(非自主)促进周围细胞增殖。比如,DARE细胞表面的TNFR受体被激活后,可能通过ROS(活性氧)触发Wengen信号,增强自身增殖;同时,TNF/Eiger信号则适度抑制其增殖。而下游的p38 MAPK通路是关键,负责调控DARE和另一种凋亡抵抗细胞(NARE)的增殖。

    这项研究揭示了组织再生中“抗凋亡细胞”的机制,为理解辐射损伤后的修复提供了新视角。不过,目前研究是在果蝇模型中进行的,未来需要更多实验验证在哺乳动物甚至人类中的适用性,比如癌症治疗中如何利用类似机制。

    果蝇的“再生小能手”这么复杂,连细胞间的“信号游戏”都这么讲究🤔


    来源:Nature communications

    #果蝇再生 #凋亡抵抗细胞 #补偿性增殖 #细胞信号通路 #组织修复

    via: 热心群友

    🧬 频道🧑‍🔬 群组📨 投稿
    ❤️ 1
  3. 普通细胞也能“发电”?科学家发现细胞通过膜运动产生电信号

    我们常以为只有神经元能产生电信号,但最新研究揭示,普通细胞本身也能通过微小的膜运动生成类似电压尖峰的电信号。这些信号可能驱动离子运输,并参与调控细胞的关键功能。研究人员通过实验观察到,细胞膜上的分子活动会引发短暂的电压变化,这种“自发电”机制可能为设计仿生智能材料提供新思路。

    研究发现,这种电信号并非随机产生,而是由细胞内的主动分子过程调控,与细胞膜的结构和功能状态密切相关。它不仅为理解细胞通讯提供了新视角,也可能解释一些此前难以解释的生物现象。

    这项研究虽为初步发现,样本量有限,仍需更多实验验证其普遍性和具体机制。未来若能深入解析这一过程,有望在生物传感器和仿生材料领域带来突破。

    普通细胞也会“充电”了?


    来源:PNAS Nexus

    #细胞生物学 #电信号 #生物材料 #分子机制

    🧬 频道🧑‍🔬 群组📨 投稿
    4 ❤️ 1
  4. 告别终身打针?清华团队打造免疫细胞药物工厂,一次输注或可“治愈”肥胖症

    肥胖、糖尿病等慢性病常需终身用药,频繁注射不仅麻烦,还可能因身体产生抗药性而失效 。但这一困境或将改变。近日,顶级期刊《自然 · 通讯》刊登了清华大学科研团队的一项突破性成果,他们开发出一种“活体药物”递送平台,为慢性病治疗描绘了“一劳永逸”的蓝图 。

    研究人员通过基因编辑技术,将 CAR-T 免疫细胞改造为名为 GD2T_IF 的“长寿”细胞,它最大的优势是能在无需任何化疗预处理的情况下,在体内扩增并长期存活 。这座“体内药厂”就此建成,可持续、稳定地生产并释放各类生物药剂,从而实现对疾病的长期控制。

    在小鼠实验中,单次输注这种能分泌“瘦素”的细胞,便彻底逆转了遗传性肥胖;而分泌“减肥神药”GLP-1 的细胞,则成功防治了高脂饮食诱导的肥胖与糖尿病,且未见明显副作用 。 这种创新的“一次性疗法”有望从根本上改变慢性病的治疗模式,将患者从无尽的用药循环中解放出来 。
    一针下去,免疫细胞替我负重前行,我就可以安心躺下了 😌


    Nature Communications
    #细胞疗法 #慢性病 #基因工程
    👍 6 ❤️ 3 🥰 1
  5. “细菌特工队”升级战术:揭秘饿死肿瘤的“三步必杀技”

    近期发表于《自然 · 生物医学工程》的一项研究中,科学家发现了一种由奇异变形杆菌(A-gyo)和沼泽红假单胞菌(UN-gyo)—— 以 3:97 的“黄金比例”组成的复合菌剂(AUN),它能高效、安全地清除肿瘤,且无需基因工程改造。这项疗法的突破性在于,它甚至在完全没有免疫系统辅助的情况下,也能独立完成对肿瘤的精准打击。

    该菌剂的抗癌机制如同一套精密的“三步必杀技”。首先,经静脉注射后,细菌会自动靶向并聚集在肿瘤的缺氧核心区。它们的首要攻击手段是“精准引爆血管”:选择性地在肿瘤内部的血管中引发大规模血栓,迅速切断血液和营养供应,从而“饿死”肿瘤,导致其大面积坏死。其次,为了深入敌后,其中的 A-gyo 细菌在接触到癌细胞代谢物后,会从短小的“游泳体”变形为长达数十微米的“蜂群体”,大幅提升运动能力,从而渗透到肿瘤的每一个角落。最后,它们还会分泌多种毒素直接溶解癌细胞,并通过消耗肿瘤生长必需的铁元素,进一步抑制其生长。

    更重要的是,这种创新疗法在多种免疫缺陷的动物模型中均取得了 100% 的肿瘤完全消退率,成功清除了包括人类胰腺癌、卵巢癌在内的多种恶性肿瘤,展现了广阔的应用前景。研究人员还开发出“低剂量 - 高剂量”的两步注射法,有效规避了细胞因子风暴等严重副作用,确保了治疗的安全性。此外,这些细菌对常规抗生素敏感,意味着治疗过程可控,为未来临床转化奠定了坚实基础。

    Nature Biomedical Engineering
    #细菌疗法 #溶瘤细菌 #肿瘤血栓
    ❤️ 9
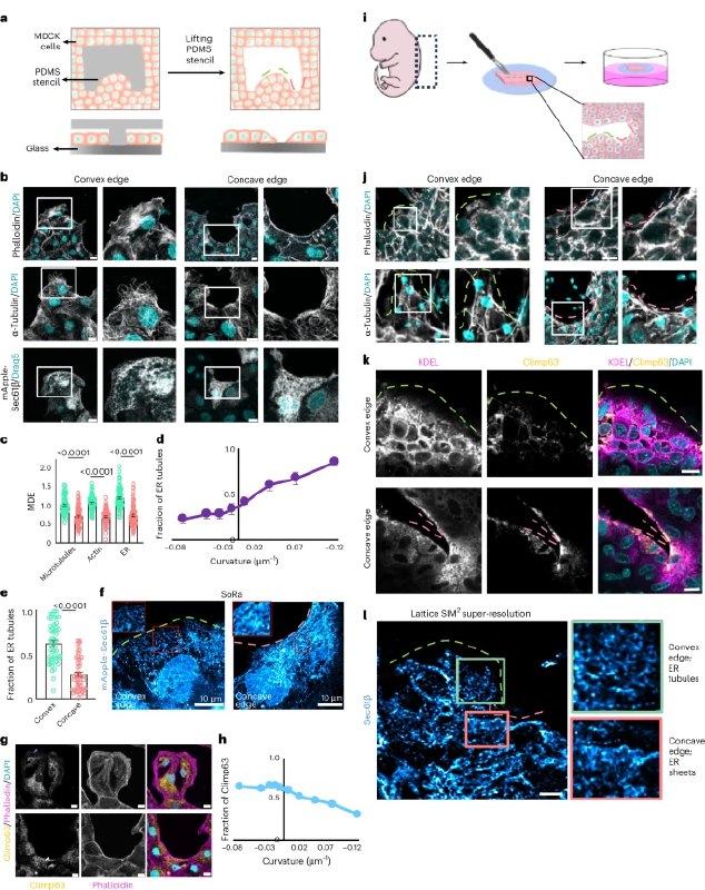
  6. 细胞内的“变形金刚”:内质网竟是指挥组织修复的“工程师”

    组织修复时,上皮细胞会根据伤口边缘的几何形状,巧妙地切换两种迁移模式:在凸形边缘进行“片状伪足爬行”,在凹形边缘则进行“肌动球蛋白拉线收缩”。这一决策是如何做出的?发表于《自然 - 细胞生物学》的研究揭示,细胞器内质网(ER)正是这一过程的“智能”感知器与指挥官。

    研究团队发现,在凸形边缘,细胞向前伸展的机械力会促使内质网形成精细的管状网络这些管状结构与细胞的“微管”骨架协同,帮助形成利于“抓地”前行的垂直黏着斑,从而支持爬行运动。而在凹形边缘,细胞间的收缩力则将内质网压缩成致密的片状结构这有助于稳定跨细胞的“肌动球蛋白缆绳”,高效地将伤口拉拢闭合。

    此项工作颠覆了内质网仅作为“生产车间”的传统观念,将其确立为细胞感知物理环境并指导行为的核心“机械转导器”。这一发现不仅为伤口愈合、器官发育等基础生命过程提供了关键的机理见解,也为未来通过调控 ER 形态来干预癌症转移等涉及细胞集体迁移的疾病,开辟了新的思路。
    从默默无闻的“细胞车间”卷成了高级机械工程师,既要会盖房又要会拉线,我宣布内质网是新一届卷王!🤪


    Nature Cell Biology
    #内质网 #细胞迁移 #组织修复
    👍 5 ❤️ 1