Skip to main content

知识分享官

  1. 中国团队领跑世界!基因猪肺成功“植入”人体,异种移植开启新篇章

    近日,《自然 · 医学》发表了一项重磅研究,由广州医科大学附属第一医院何建行院士领衔的中国科学家团队,成功将一枚经基因编辑的猪肺移植到一名脑死亡受体中,并维持其功能长达 216 小时,完成了世界首例猪 - 人肺异种移植的成功报道 。这一里程碑式的突破,标志着中国科学家在异种器官移植这一前沿领域走在了世界前列。

    这项手术成功的核心,在于一套精密的“基因伪装术” 。为攻克人体免疫系统对外来器官的猛烈攻击,研究团队对供体猪进行了六处基因改造:一方面“做减法”,敲除了三种会立刻触发人体超急性排斥反应的猪抗原基因;另一方面“做加法”,植入了三种能主动调节人体免疫系统、抑制炎症和血栓的人类基因 。正是这套复杂的基因编辑策略,成功“欺骗”了人体的免疫哨兵,克服了异种移植中最迅速、最致命的超急性排斥反应,这是该领域数十年探索的历史性一跃。

    此次成功极大地推动了异种移植技术的发展,为解决全球器官短缺危机带来了切实的希望 。然而,尽管成就斐然,但通往临床应用的道路依然充满挑战:研究中仍观察到相对缓和的抗体排斥反应、移植后早期的严重肺水肿,以及跨物种感染的潜在风险等,这些都是科学家们下一步需要攻克的关键难题。
    从“二师兄”到“救命恩人”,这可能是史上最硬核的转型。🥰


    Nature Medicine
    #异种移植 #基因编辑 #器官移植
    ❤️ 13 👏 2 🤡 2
  2. Nature 重磅:科学家破解酒精伤肝的“肠道密码”,新靶点有望终结肝病困局

    酒精性肝病为何难以治疗?发表于《自然》的最新研究将目光从肝脏转向肠道,找到了关键线索。研究人员发现,长期饮酒会破坏肠道内一种名为 mAChR4 的关键受体,其水平下降与肝损伤严重程度直接相关

    该受体如同肠道免疫的“总开关”,控制着免疫细胞用于“侦察”肠内细菌的特殊通道(GAPs) 。酒精将此开关关闭,导致免疫系统“失明”,抗菌防线崩溃,最终使得肠道细菌得以“入侵”肝脏,引发恶性炎症

    令人振奋的是,该研究在小鼠模型中验证了解决方案。通过药物特异性地重新激活 mAChR4 受体,成功重建了肠道防线,并有效阻止了酒精性肝病的发生。这一“修复肠道以保肝”的策略,为开发新一代肝病疗法指明了精准方向。

    酒精通过关闭肠道的一个“安全开关”来引发肝损伤,用新方法把它重新打开,就能保护肝脏不受伤害 。

    Nature
    #酒精性肝病 #肠肝轴 #mAChR4受体
  3. 提供一个借助 ai 快速理解陌生领域的思路:

    1. 问题:让大模型从浅至深,从简单到复杂的生成该领域的 100 个好问题

    2. 初试:按自己当前的理解去尝试回答一些问题

    3. 讨教:与大模型针对每个不会的问题进行讨教,再找领域从业者交流确认

    以问题作牵引,以明确写出来的回答作为确证,不断完善对该领域的认知拼图。
    👍 3
  4. 猫鼠联盟,在线组队?虎猫与负鼠的神奇友谊!

    本该是捕食者与猎物的虎猫和负鼠,竟然被拍到在丛林里悠闲地“压马路” !根据《生态圈》(Ecosphere)期刊的报道 ,相机陷阱在秘鲁雨林中四次捕捉到这对奇特组合,它们亲密同行,负鼠全程淡定 。

    更离谱的是,负鼠不仅不怕,甚至还是虎猫的“铁杆粉丝”!实验发现,负鼠对虎猫的气味超级着迷,会主动跑去蹭来蹭去,但对美洲狮的气味却毫无兴趣 。这显然不是猎物见到天敌的正常反应 。

    科学家大胆猜测,它俩可能是在“组队打怪”或“互涂香水”当掩护呢!
    例如,利用负鼠不怕蛇毒的特性合作捕蛇 ,或者混合彼此的气味来躲避更大的捕食者 。
    此事在猫和老鼠亦有记载 🤪🤪🤪


    Ecosphere
    #猫鼠队 #跨物种合作
    1 🥰 7 ❤️ 1
  5. 协同增效新策略:非特异性 mRNA 疫苗可重塑肿瘤微环境,以增敏免疫检查点抑制剂

    免疫检查点抑制剂(ICIs)通过解除对 T 细胞的抑制来发挥抗癌作用,但对缺乏免疫细胞浸润的“冷肿瘤”,其临床响应率有限 。这些肿瘤的免疫抑制微环境导致 T 细胞无法有效识别和攻击癌细胞,是当前免疫治疗面临的核心挑战之一 。

    发表于《自然 · 生物医学工程》的一项研究为此提出了协同增效的新策略。研究人员开发了一种编码非肿瘤特异性抗原的 mRNA 疫苗 。该疫苗的核心创新在于,它不直接靶向肿瘤抗原,而是作为一种广谱免疫激活剂,在体内诱导强烈的 I 型干扰素(IFN-I)反应 —— 这是一种关键的“危险信号”,能够打破肿瘤的免疫抑制状态

    这种由疫苗激发的 IFN-I 信号能够重塑肿瘤微环境,大量招募 T 细胞等免疫细胞进入肿瘤内部,从而将“冷肿瘤”转化为“热肿瘤” 。在此基础上联合使用 ICIs,便能有效解除对这些新浸润 T 细胞的抑制,并促进“抗原表位扩散”(即让免疫系统识别更多样的肿瘤抗原),最终实现强大而持久的抗肿瘤效应 。这项研究证实,通过 mRNA 疫苗进行免疫“预处理”来增敏肿瘤,可显著提升 ICI 疗法的效力,为开发广谱免疫联合疗法开辟了新路径 。

    免疫系统:太黑了,啥也看不见。😎
    科学家:给你打个“照明弹”(mRNA 疫苗)!💥
    免疫系统:嚯!亮堂了!原来肿瘤搁那儿藏着呢!🫵


    Nature Biomedical Engineering
    #免疫治疗 #mRNA疫苗 #肿瘤免疫微环境
    🆒 4 ❤️ 1
  6. 白天总犯困?新研究发现可能与体内激素和饮食代谢有关

    近期发表于《eBioMedicine》的一项研究,为我们理解为何总是“睡不醒”提供了新的生物学视角 。研究人员收集了来自6000名参与者的血液样本,分析了体内877种代谢物的数据 ,同时采用问卷评估了他们在白天不同场景下打瞌睡的频率 。

    最终,研究发现了7种与日间过度嗜睡显著关联的代谢标志物,另有3种代谢物仅在男性中表现出关联性。研究指出,饮食对这些代谢物有重要影响:例如,摄入富含ω-3和ω-6脂肪酸的食物(常见于地中海式饮食)与较低的嗜睡风险相关 。相反,发酵或过熟食物中常见的酪胺(Tyramine)则可能加剧白天的困倦感,这种现象在男性群体中尤为显著 。

    该研究证实,类固醇激素的生物合成通路是影响日间嗜睡的核心环节 ,这些激素通路也被发现与调节睡眠的关键物质——褪黑素的代谢相关联 。这为理解嗜睡问题提供了新的线索,并暗示了改善饮食或许是未来干预嗜睡的潜在方向 。

    老板看完掏出笔记本:以后食堂减少供应发酵食物😎

    eBioMedicine
    #日间过度嗜睡症 #代谢物 #类固醇激素
    😴 10 ❤️ 3 👍 1
  7. 应试英语的对立面:实际交流和应用为导向的英语学习方式。
    而这方面我还是推荐以可理解性输入为主要学习方式,通过大量自然、真实的语言输入来习得语言,全英环境打造纯纯的英语思维,中文直接不参与其中,这里我精选了几个完全适合小白的YouTube频道,不用担心听不懂,直接都是脚踝之下的难度。目的就是让你摆脱中英互译的思维陷阱。其次不要光看频道关注量,那些百万级别的频道内容难度不一定适合你。
  8. 一图看懂:什么是冷钱包,它如何保障我们资产安全?
    冷钱包是什么?
    「冷钱包(Cold Wallet)」 是一种用于存储加密货币的硬体设备,其特点是将私钥(密钥)离线保存在其中,并与网络断开连接。

    冷钱包通常不与互联网直接相连,从而提供了更高的安全性,可以防止遭受来自网络攻击、恶意软体或黑客入侵的风险。

    冷钱包的样子通常很类似USB 随身碟、信用卡或者甚至就是一张纸。当需要进行交易时,用户可以将冷钱包连接到网络来签署交易,然后再次将其断开连接,从而确保私钥的安全。

    冷钱包的使用者掌握着私钥的完全控制权,并可以在需要时随时存取其加密货币资产。目前最常见的冷钱包:Ledger等其他。

    热钱包是什么?
    「热钱包(Hot Wallet)」 是指在连接到互联网的设备上存储和管理加密货币的钱包。
    热钱包通常是软件钱包或在交易所平台上的钱包。与冷钱包相反,热钱包是与网络连接的,方便用户在任何时间进行快速的数字资产交易。

    热钱包的存在形式通常是APP、浏览器插件等软体形式。目前最常见的热钱包:MetaMask等其他。

    如果把虚拟货币比做现金,冷钱包就类似我们放在家里存放现金的保险箱,热钱包就像我们把现金存到银行之后,银行给我们的存折。

    大多数加密货币都是去中心化的,没有中央银行或政府的支持。而在区块链的世界里,谁掌握了私钥就代表谁拥有该私钥对应的那笔资产所有权。

    这也意味着,自己的比特币或ETH等币种的私钥被盗时,不能像传统银行储蓄卡或信用卡被盗,银行可以将丢失或被盗的钱退还给账户持有人一样,而是只能自行承担损失。 为了保障我们数字货币的安全,钱包非常重要,它是存储和使用数字货币的工具。

    根据存储方式的不同,可以分为冷钱包和热钱包。区分冷钱包和热钱包的方式看是否联网。这两种钱包各有千秋,都非常重要,不管哪一种钱包,都需要兄弟们精心保管。
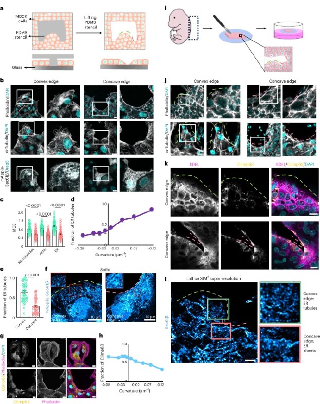
  9. 细胞内的“变形金刚”:内质网竟是指挥组织修复的“工程师”

    组织修复时,上皮细胞会根据伤口边缘的几何形状,巧妙地切换两种迁移模式:在凸形边缘进行“片状伪足爬行”,在凹形边缘则进行“肌动球蛋白拉线收缩”。这一决策是如何做出的?发表于《自然 - 细胞生物学》的研究揭示,细胞器内质网(ER)正是这一过程的“智能”感知器与指挥官。

    研究团队发现,在凸形边缘,细胞向前伸展的机械力会促使内质网形成精细的管状网络这些管状结构与细胞的“微管”骨架协同,帮助形成利于“抓地”前行的垂直黏着斑,从而支持爬行运动。而在凹形边缘,细胞间的收缩力则将内质网压缩成致密的片状结构这有助于稳定跨细胞的“肌动球蛋白缆绳”,高效地将伤口拉拢闭合。

    此项工作颠覆了内质网仅作为“生产车间”的传统观念,将其确立为细胞感知物理环境并指导行为的核心“机械转导器”。这一发现不仅为伤口愈合、器官发育等基础生命过程提供了关键的机理见解,也为未来通过调控 ER 形态来干预癌症转移等涉及细胞集体迁移的疾病,开辟了新的思路。
    从默默无闻的“细胞车间”卷成了高级机械工程师,既要会盖房又要会拉线,我宣布内质网是新一届卷王!🤪


    Nature Cell Biology
    #内质网 #细胞迁移 #组织修复
    👍 5 ❤️ 1
  10. 审稿人“有偿服务”?引用就给过,不引用就难办!

    Nature 最近报道了预印本上的一项研究,对来自四家开放获取出版物、超过 37,000 份同行评审的分析发现,一些审稿人可能将评审视为一种“交易” 。这项尚未经过同行评议的预印本研究显示,当作者在论文后续版本中引用了审稿人的作品时,他们批准论文的可能性会更高 。

    研究指出,这种现象在作者收到审稿意见后尤为明显 。在超过 400 份评审中,那些在第一版论文中未被引用但在审稿意见中要求引用的审稿人,如果他们的要求在第二版中得到满足,那么其批准论文的几率高达 92%,而要求未被满足的审稿人,批准率仅为 76% 。

    这种“强制引用”行为,可能源于审稿人想通过提升自己的 h 指数来增加学术影响力 。研究作者认为,为了确保论文通过,作者可能会选择“阻力最小”的路径,即满足审稿人的要求来换取论文的接受 。这使得同行评审过程不再是客观的学术评估,而更像是一场以引用为筹码的交易
    该研究来自预印本服务器,其严谨性仍有待审稿人评定。🧐


    Nature | OSFpreprints
    #同行评审 #强制引用 #论文发表
    😇 4 🤪 3 👍 2
  11. 视力矫正新革命:电极“按摩”一分钟,近视或可逆转?

    眼睛的角膜是光线进入眼球的第一道“镜片”,其曲度决定了我们能否看清世界。传统激光手术通过切削角膜来矫正视力,而一项名为“机电重塑”(EMR)的新技术,有望在不切削任何组织的情况下,仅用一分钟的温和电流就重塑角膜

    该技术由美国西方学院与加州大学尔湾分校的科学家研发。它利用一个铂金电极接触镜向主要由胶原蛋白构成的角膜施加微弱电流,电流会暂时改变角膜组织的酸碱度,使其变得柔软可塑,以便按照预设的模具重塑。这与 LASIK 手术的切削原理完全不同,避免了对眼球结构完整性的改变。

    在对离体兔眼球的实验中,该方法成功使角膜产生了 -3.12 屈光度的改变,达到了矫正近视的效果。尽管前景广阔,但该技术仍处于早期阶段,需通过详尽的活体动物研究验证,距离临床应用尚有时日,但为未来的视力矫正提供了全新可能。

    建议改名叫“角膜烫头”,一分钟定型,效果持久。🤓


    New Atlas
    #视力矫正 #机电重塑 #近视
    🤓 17 👍 4 🥰 3 ❤️ 1 1
  12. 冷知识:今天我们闭眼使用的键盘布局最初目的是降低你的打字速度,而非提升你的打字速度。(早先为防止机械打字机的击键杆卡住)
    ❤️ 1
  13. 土豆是“无辜”的吗?哈佛研究揭示:烹饪方式才是关键

    一项发表于《英国医学杂志》(BMJ)的重磅研究为土豆“平反”了 。哈佛大学等机构的研究人员追踪分析了三项大型队列研究中超 20 万名参与者长达 30 余年的健康数据,发现土豆的烹饪方式,而非土豆本身,才是影响二型糖尿病风险的核心 。

    数据显示,炸薯条是明确的风险因素:每周增加三份炸薯条的摄入量,患二型糖尿病的风险便会随之升高 20% 。相比之下,食用同等份量的水煮、烘烤土豆或土豆泥,则与糖尿病风险没有显著关联 。虽然总体土豆摄入量与风险有轻微正相关(每周增加三份,风险升高 5%),但研究指出这主要是由炸薯条驱动的 。

    该研究强调,用健康的食物进行替换至关重要。模型估算显示,用全谷物替代每周三份的炸薯条,预计能使二型糖尿病风险降低 19%。有趣的是,如果将水煮或烘烤土豆换成白米饭,患病风险反而会增加 。

    V 我 50,我来替你们承担这份风险 😚


    The BMJ
    #二型糖尿病 #炸薯条 #饮食习惯
    😇 6 😱 3 😁 1
  14. 知识分享官
    3 .流量分析: 当您使用互联网时,比如观看视频、浏览网页或使用社交媒体,您的电脑会发送和接收数据包。这些数据包就像是小信封,里面包含着您的请求信息和接收的数据。 这些数据包包含了您的在线活动信息。例如,如果您正在观看视频,数据包就会包含视频流的数据;如果您正在浏览网页,数据包会包含网页内容的数据。 这些数据包会被发送到不同的在线服务,如视频流服务、社交媒体平台和网页浏览服务。每种服务都有自己特定的数据类型和通信模式。 当数据包从您的电脑发送出去或接收到您的电脑时,它们会通过您的互联网服务提供商,如…
    4. 深度包(DPI)检测:如之前所言,当您使用互联网发送电子邮件、访问网站、传输文件时,这些信息被封装在数据包中发送出去。

    这些数据包就像是装有信息的小盒子。通常情况下,它们在网络中传输时是封闭的,无法被轻易查看。

    在深度包检测中,运营商会像打开这些小盒子一样,检查数据包里的具体内容。这就像是在检查信件的具体内容,而不仅仅是看信封上写着送往哪里。

    运营商通过DPI技术,可以查看数据包中的具体信息,比如您发送的电子邮件内容、您访问的网站页面,甚至您在线传输的文件内容。

    DPI是一种强大但具有争议的技术,因为它涉及到对用户数据的深入审查。这种技术在网络安全、内容过滤和数据监控等方面有着广泛的应用,但同时也引发了隐私保护和用户权利的关注。但也如前言所述,许多互联网通信现在通过加密(如HTTPS),这使得即使使用DPI,运营商也无法轻易查看这些加密数据的内容。
  15. 知识分享官
    2. DNS查询记录:当用户尝试访问一个网站时,他们的设备会先向DNS服务器发送查询,以解析网站的IP地址。联通可能会记录这些DNS查询,从而得知用户试图访问哪些网站。 假设当您想访问一个网站时,您通常会在浏览器中输入一个网址,比如“http://example.com”。但是,您的电脑并不直接知道这个网址对应的服务器在哪里,它需要将这个网址转换成一个IP地址。 为了找到这个网址对应的IP地址,您的电脑会向一个叫做DNS服务器的特殊计算机发送一个请求。这个请求被称为DNS查询。DNS服务器的工作是将网址…
    3 .流量分析: 当您使用互联网时,比如观看视频、浏览网页或使用社交媒体,您的电脑会发送和接收数据包。这些数据包就像是小信封,里面包含着您的请求信息和接收的数据。

    这些数据包包含了您的在线活动信息。例如,如果您正在观看视频,数据包就会包含视频流的数据;如果您正在浏览网页,数据包会包含网页内容的数据。

    这些数据包会被发送到不同的在线服务,如视频流服务、社交媒体平台和网页浏览服务。每种服务都有自己特定的数据类型和通信模式。

    当数据包从您的电脑发送出去或接收到您的电脑时,它们会通过您的互联网服务提供商,如中国联通。联通可以分析这些数据包,从而了解您的互联网使用模式。例如,他们可以看到大量的视频流量,从而判断您可能正在观看视频;或者看到社交媒体特有的数据模式,从而知道您正在使用某个社交平台。(之前挖矿被分析出流量异常,电话被警告了)

    这种流量分析可以让互联网服务提供商了解用户的一般互联网使用习惯,比如最常访问的服务类型、活跃的时间段等。然而,如果数据是加密的(如使用HTTPS协议的网站),则具体内容是无法被查看的。这意味着虽然运营商可以知道您正在观看视频或浏览网页,但他们无法知道视频或网页的具体内容。
  16. 知识分享官
    1. IP地址跟踪:运营商可以看到通过其网络的数据包的来源和目的地IP地址。这允许它们知道用户正在访问哪些服务器: 假设您想访问一个网站,比如社交媒体或新闻网站。您在浏览器中输入网址或点击链接,您的电脑就会发送一个请求。 这个请求首先会发送到您的互联网服务提供商,比如中国联通。联通会处理这个请求,并了解它来自哪里(即您的IP地址)以及它要去哪里(即您想访问的网站的IP地址)。 联通将您的请求转发到目标网站的服务器。服务器接收请求,并将网站的数据(如网页、图片等)发送回您的电脑。 整个过程中,联通作为…
    2. DNS查询记录:当用户尝试访问一个网站时,他们的设备会先向DNS服务器发送查询,以解析网站的IP地址。联通可能会记录这些DNS查询,从而得知用户试图访问哪些网站。

    假设当您想访问一个网站时,您通常会在浏览器中输入一个网址,比如“http://example.com”。但是,您的电脑并不直接知道这个网址对应的服务器在哪里,它需要将这个网址转换成一个IP地址。
    为了找到这个网址对应的IP地址,您的电脑会向一个叫做DNS服务器的特殊计算机发送一个请求。这个请求被称为DNS查询。DNS服务器的工作是将网址(如“http://example.com”)转换成IP地址(如“192.0.2.1”),这样您的电脑就知道到哪里去找网站的数据了。

    当您的电脑发送DNS查询时,这个请求通常会通过您的互联网服务提供商,如中国联通。这意味着联通可以看到您发送的每一个DNS查询,从而知道您想访问哪些网站的域名。虽然(中国联通)不能直接看到您在网站上做了什么,但它们可以通过这些查询记录来了解您访问了哪些网站。

    所以,简而言之,DNS查询就像是一本电话簿,当您知道某人的名字但不知道他们的电话号码时,您会查找电话簿。同样,当您的电脑知道网站的名字但不知道其IP地址时,它会查询DNS服务器。而您的ISP(运营商),就像是在旁边翻阅着您查阅电话簿的记录。
  17. 知识分享官
    互联网安全知识扫盲 国内三大运营商是如何看到用户浏览什么网站的? 首先声明一点,人无完人,神无完神,在未涉及翻墙等方面技术情况下,如果用户仅使用HTTPS协议访问网站(即网址以“https://”开头),他们的网站浏览内容(例如具体页面和在线活动)就会被加密,运营商便无法直接查看这些内容。然而,即便如此,运营商仍可以看到用户访问的域名(例如http://pornhub.com),但无法看到用户在该域名下的具体活动(例如访问了哪个具体页面)。 三大运营商,理论上可以通过其网络设施来监控和记录用户的互联网使用情况,包括用户访问的网站。
    1. IP地址跟踪:运营商可以看到通过其网络的数据包的来源和目的地IP地址。这允许它们知道用户正在访问哪些服务器:

    假设您想访问一个网站,比如社交媒体或新闻网站。您在浏览器中输入网址或点击链接,您的电脑就会发送一个请求。
    这个请求首先会发送到您的互联网服务提供商,比如中国联通。联通会处理这个请求,并了解它来自哪里(即您的IP地址)以及它要去哪里(即您想访问的网站的IP地址)。

    联通将您的请求转发到目标网站的服务器。服务器接收请求,并将网站的数据(如网页、图片等)发送回您的电脑。

    整个过程中,联通作为中间人,能看到您的电脑(通过IP地址识别)和您想访问的网站服务器之间的数据流动。尽管联通看不到加密的内容(如使用HTTPS协议的网站内容),但它可以知道您访问了哪些网站,因为这些网站的IP地址是公开的。